- ホーム
- 矯正治療
矯正治療
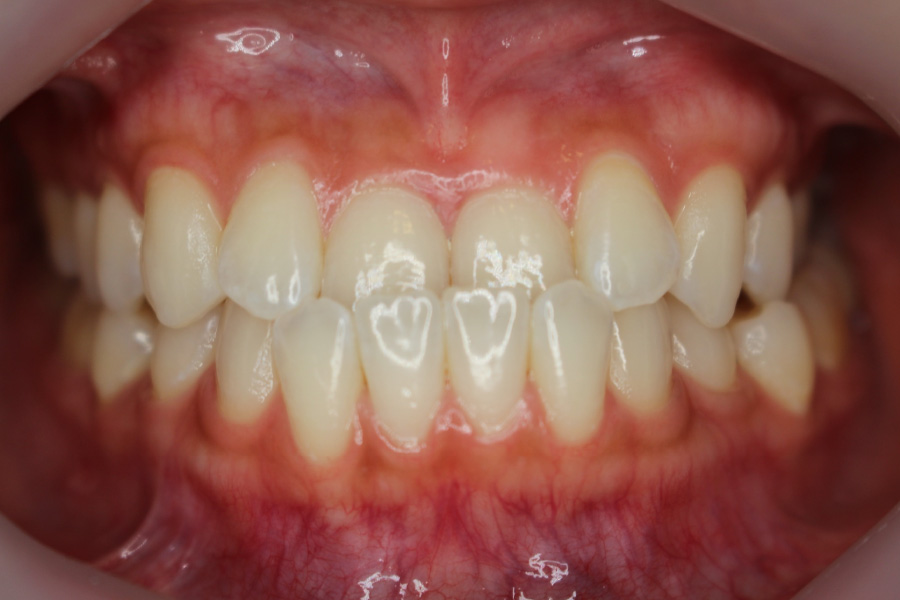
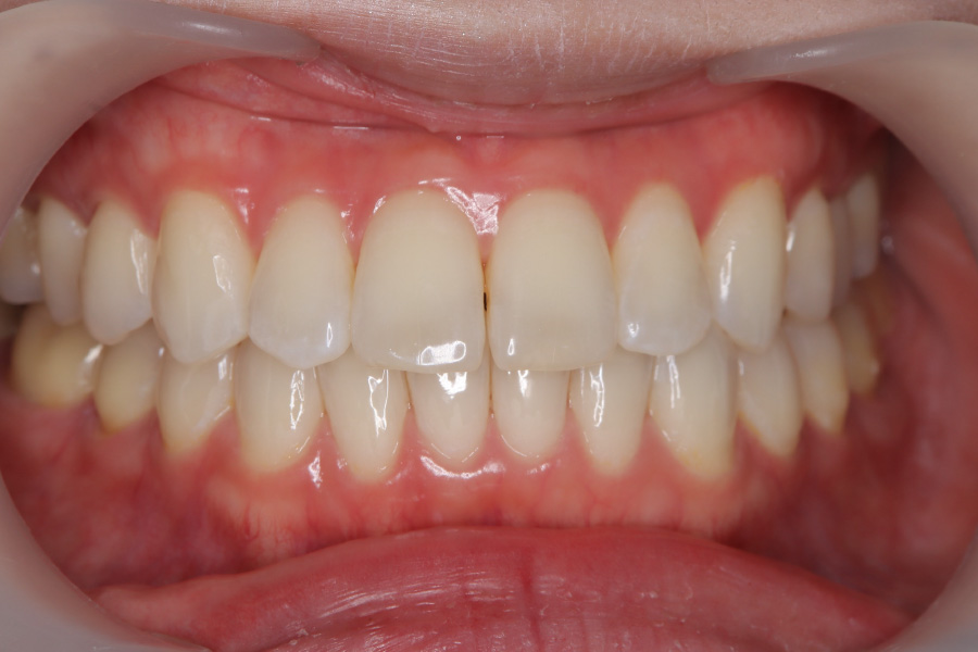
前歯のねじれが
気になる、
抜歯はしたくない
- 担当医
- 神谷 玄司
- 主訴
- 前歯のねじれが気になる、抜歯はしたくない
- 期間
- 約8ヶ月
- 費用
- ¥770,000
- 治療内容
- クリアコレクトによるマウスピース矯正
- 治療に伴うリスク
- ・スペースメイクのために、隣接面のスライスカットが必要
・後戻りがある為、治療終了後のアライナーが必須
嚙み合わせと反対咬合を
治したい
- 担当医
- 中田 雄介
- 主訴
- 嚙み合わせと反対咬合を治したい
- 期間
- 約1年
- 費用
- ¥660,000
- 治療内容
- ワイヤー矯正治療
- 治療に伴うリスク
- 後戻りがある為、治療終了後の保定が必要



