- ホーム
- 歯周病治療
歯周病治療
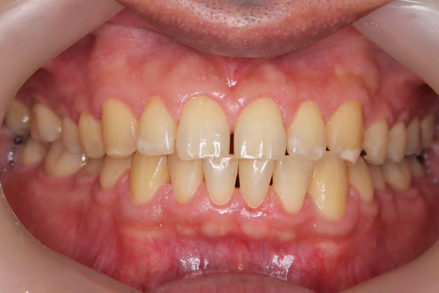
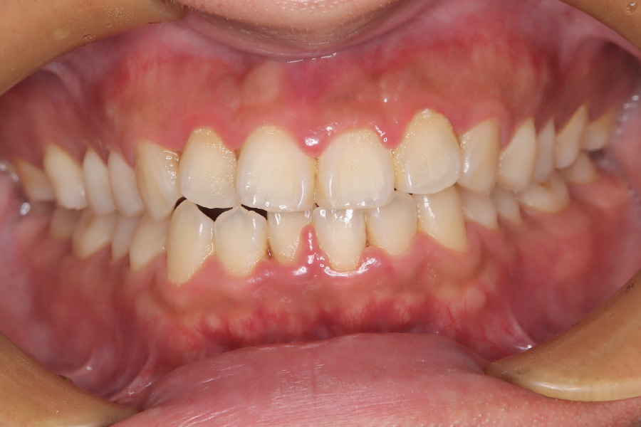
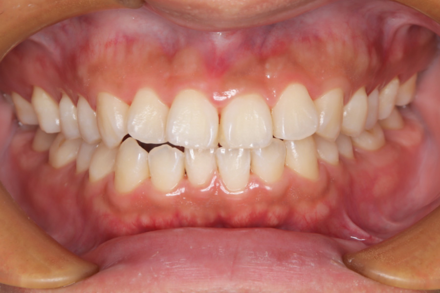
口腔内全体を改善したい
- 担当医
- -
- 主訴
- 口腔内全体を改善したい
- 期間
- 約1ヶ月
- 費用
- ¥49,500
- 治療内容
- 薬を飲んでいただき、より細菌に対してアプローチをし歯周病治療を行います。
担当衛生士による口腔内清掃方法やメンテナンス方法を患者様に適した内容をお伝えします。
- 治療に伴うリスク
- 歯肉退縮による知覚過敏が起こることがある








| 診療時間 | 月 | 火 | 水 | 木 | 金 | 土 | 日 |
|---|---|---|---|---|---|---|---|
| 10:00-13:00 | ● | ● | ● | ● | ● | ● | ━ |
| 14:00-19:00 | ● | ● | ● | ● | ● | ★ | ━ |
休診日 日曜・祝日
東京駅・大手町駅直結の歯医者
【丸の内永楽ビル歯科・矯正歯科】
〒100-0005 東京都千代田区丸の内1丁目4−1
丸の内永楽ビル iiyo B1
TEL: 03-6273-4020
GROUP
丸の内永楽ビル歯科・矯正歯科は、医療法人社団 浩昭会のグループ歯科医院です。
当グループの歯科医院に通っている患者様であれば、急に治療が必要になった場合、下記のグループ医院でも対応いたします。