- ホーム
- ホワイトニング
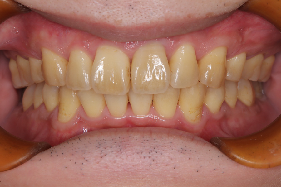
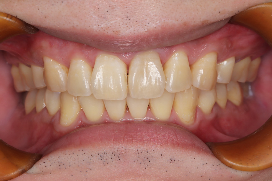
ホワイトニング
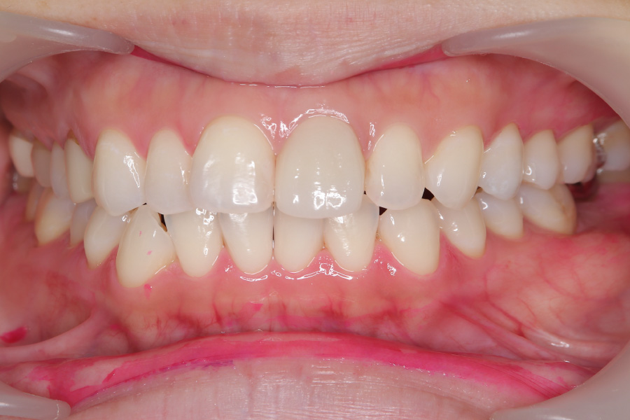
左上前歯の変色が
気になる
- 担当医
- 神谷 玄司
- 主訴
- 左上前歯の変色が気になる
- 期間
- 期間約2ヶ月
通院6回
- 費用
- ホワイトニング¥42,900(3回)
e-maxクラウン¥132,000
- 治療内容
- ホワイトニング終了後にフルクラウンの治療へ。専属技工士によるシェードチェックや形の確認を行うので満足度の高い被せ物の作成ができます。
- 治療に伴うリスク
- ホワイトニング後の知覚過敏や後戻り。仮歯の期間あり。




| 診療時間 | 月 | 火 | 水 | 木 | 金 | 土 | 日 |
|---|---|---|---|---|---|---|---|
| 10:00-13:00 | ● | ● | ● | ● | ● | ● | ━ |
| 14:00-19:00 | ● | ● | ● | ● | ● | ★ | ━ |
休診日 日曜・祝日
東京駅・大手町駅直結の歯医者
【丸の内永楽ビル歯科・矯正歯科】
〒100-0005 東京都千代田区丸の内1丁目4−1
丸の内永楽ビル iiyo B1
TEL: 03-6273-4020
GROUP
丸の内永楽ビル歯科・矯正歯科は、医療法人社団 浩昭会のグループ歯科医院です。
当グループの歯科医院に通っている患者様であれば、急に治療が必要になった場合、下記のグループ医院でも対応いたします。