- ホーム
- 症例
症例
定期健診、
歯のクリーニング
(4ヶ月メインテナンス)
口腔内全体を改善したい
- 担当医
- -
- 主訴
- 口腔内全体を改善したい
- 期間
- 約1ヶ月
- 費用
- ¥49,500
- 治療内容
- 薬を飲んでいただき、より細菌に対してアプローチをし歯周病治療を行います。
担当衛生士による口腔内清掃方法やメンテナンス方法を患者様に適した内容をお伝えします。
- 治療に伴うリスク
- 歯肉退縮による知覚過敏が起こることがある
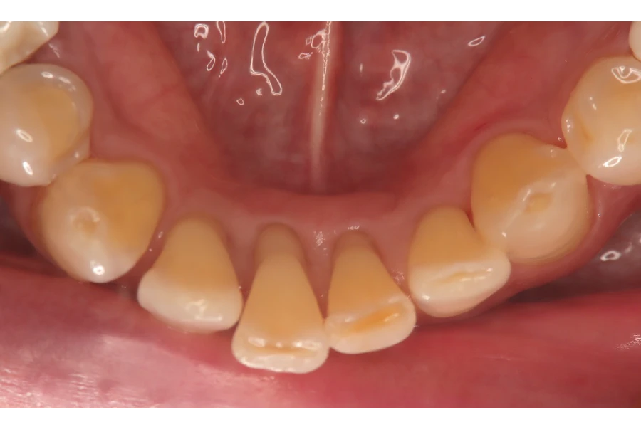
右側上下の歯肉が
頻繁に腫れや膿が
出ることがあるため、
歯ブラシをうまく
当てられない
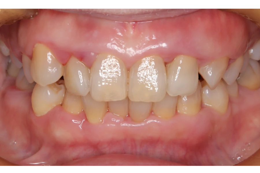
歯が痛む、
クリーニング希望
前歯のねじれが
気になる、
抜歯はしたくない
- 担当医
- 神谷 玄司
- 主訴
- 前歯のねじれが気になる、抜歯はしたくない
- 期間
- 約8ヶ月
- 費用
- ¥770,000
- 治療内容
- クリアコレクトによるマウスピース矯正
- 治療に伴うリスク
- ・スペースメイクのために、隣接面のスライスカットが必要
・後戻りがある為、治療終了後のアライナーが必須
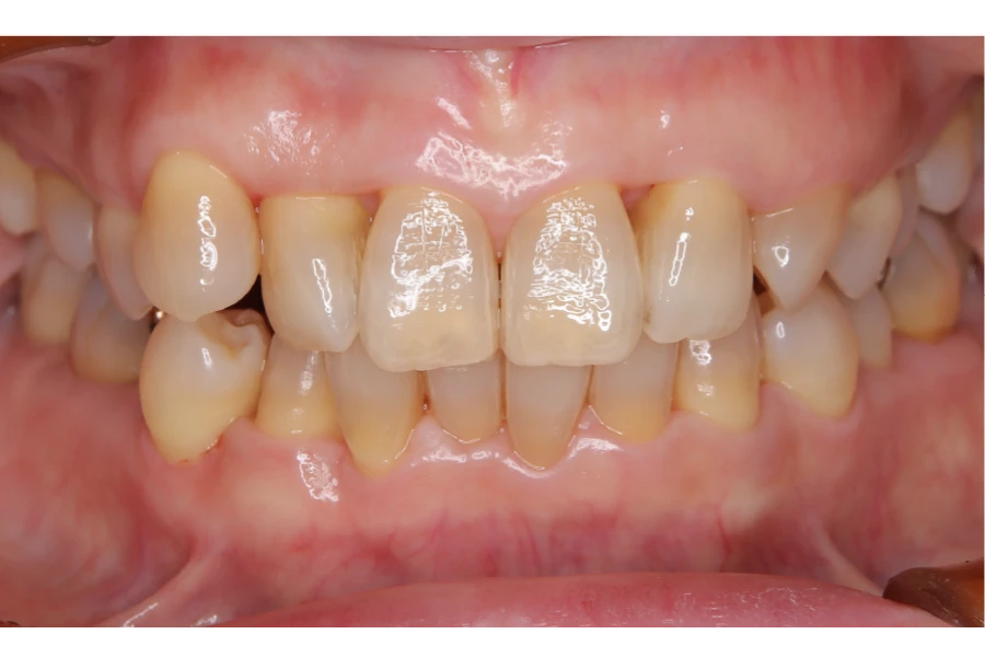
左上前歯の変色が
気になる
- 担当医
- 神谷 玄司
- 主訴
- 左上前歯の変色が気になる
- 期間
- 期間約2ヶ月
通院6回
- 費用
- ホワイトニング¥42,900(3回)
e-maxクラウン¥132,000
- 治療内容
- ホワイトニング終了後にフルクラウンの治療へ。専属技工士によるシェードチェックや形の確認を行うので満足度の高い被せ物の作成ができます。
- 治療に伴うリスク
- ホワイトニング後の知覚過敏や後戻り。仮歯の期間あり。
定期健診・
歯のクリーニングと
歯を明るくしたい
定期健診・
歯のクリーニング
- 担当医
- -
- 主訴
- 定期健診、歯のクリーニング(3ヶ月ごとのメンテナンス)
- 期間
- 1日
- 費用
- ¥16,500
- 治療内容
- 歯周ポケット検査、位相差顕微鏡での細菌検査、歯の染出しをし磨き残しの確認・歯ブラシ指導、パウダークリーニング、歯石除去、トリートメントケア、フッ素塗布
- 治療に伴うリスク
- 特になし
歯ぐきが腫れた
嚙み合わせと反対咬合を
治したい
- 担当医
- 中田 雄介
- 主訴
- 嚙み合わせと反対咬合を治したい
- 期間
- 約1年
- 費用
- ¥660,000
- 治療内容
- ワイヤー矯正治療
- 治療に伴うリスク
- 後戻りがある為、治療終了後の保定が必要



















