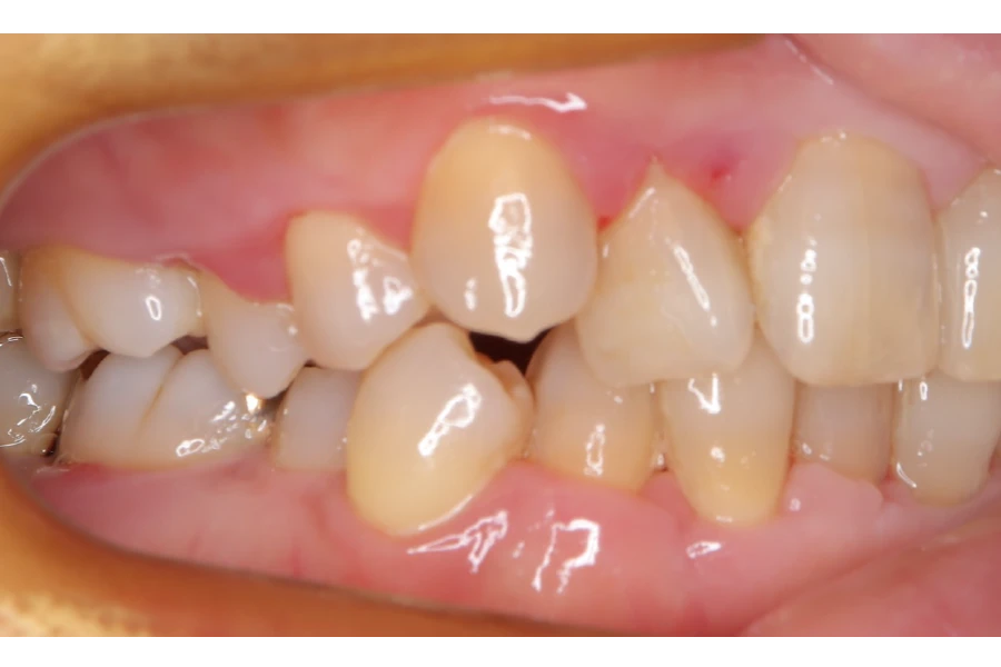
右側上下の歯肉が
頻繁に腫れや膿が
出ることがあるため、
歯ブラシをうまく
当てられない
治療前
治療後
治療前
治療後
| 担当医 | - |
|---|---|
| 主訴 | ・右側上下の歯肉が頻繁に腫れ、膿も出ることがある ・ブラッシング時に出血もあり疼痛もあるため歯ブラシをうまく当てられない |
| 期間 | 約2ヶ月、通院6回 |
| 費用 | ¥60,500 |
| 治療内容 | 担当歯科衛生士による口腔衛生指導、歯石除去(縁上・縁下)、抗菌薬を使用しての除菌治療をし、炎症の改善と再発防止を目指す |
| 治療に伴うリスク | 歯肉退縮による知覚過敏が起こることがある |





